Som un campus sanitari de referència que comprèn tots els camps de la salut: l'assistència, la recerca, la docència i la gestió.
La professionalitat, el compromís i la recerca dels professionals del Campus són elements clau per poder oferir una assistència excel·lent.
Apostem per la recerca com a eina per aportar solucions als reptes que ens trobem dia a dia en el camp de l’assistència mèdica.
Gràcies al nostre potencial assistencial, docent i de recerca treballem per incorporar nous coneixements per generar valor als pacients, als professionals i a la mateixa organització.
Generem, transformem i transmetem coneixement en tots els àmbits de les ciències de la salut per formar els futurs professionals.
La vocació de comunicació ens defineix. T’obrim la porta a tot el que passa al Vall d'Hebron Barcelona Hospital Campus i t’animem a compartir-ho.
Donació per a hospital
Donació per a recerca
El XV Curs Teòric-pràctic d’Ecocardiografia Bàsica i d’Ecocardiografia Avançada en Medicina Intensiva, Anestèsia i Reanimació ha estat un èxit de convocatòria, amb més de 150 assistents.
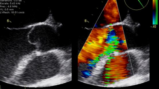
Gràcies a l’ús d’ultrasons, l’ecocardiografia permet estudiar la mida, el funcionament i els moviments del cor. Aquesta és la tècnica diagnòstica més utilitzada en cardiologia. Malgrat que els cardiòlegs són els professionals sanitaris que millor dominen aquest procediment, hi ha altres professionals que també necessiten conèixer com funciona. Com explica el Dr. Artur Evangelista, director del Curs Teòric-pràctic d’Ecocardiografia Bàsica i d’Ecocardiografia Avançada en Medicina Intensiva, Anestèsia i Reanimació, “metges de família, internistes o neuròlegs també necessiten realitzar ecocardiografies per tractar els seus pacients”. D’aquesta manera, el Curs Teòric-pràctic d’Ecocardiografia Bàsica i d’Ecocardiografia Avançada en Medicina Intensiva, Anestèsia i Reanimació consta de dues parts. “Una primera part de coneixements bàsics perquè aquests professionals, i també els cardiòlegs que estan començant, puguin realitzar ecocardiografies i detectar possibles problemes. L’ecocardiografia et dóna imatges de com està el cor, però aquestes imatges, és clar, s’han de saber interpretar, que és el que ensenyem en aquest curs —assenyala el Dr. Artur Evangelista—. Si aquests professionals detecten alguna possible patologia, després poden derivar el pacient al cardiòleg, que és l’especialista”.
La segona part del curs ha estat dirigida als professionals que tenen més experiència en l’ús d’aquesta eina, com són els anestesistes o els intensivistes. “Aquests professionals ja no es dediquen a detectar patologies per derivar-les, sinó que tracten malalts crítics, patologia pulmonar o pacients politraumàtics, entre altres”, afegeix el Dr. Artur Evangelista.
El curs ha combinat seminaris teòrics i tallers pràctics per mostrar, entre altres aspectes, les bases de l’ecocardiografia i l’anatomia ecocardiogràfica, l’optimizació de l’ecocardiògraf, el Doppler cardíac, l’ús de l’ecocardiografia en el shock, el dolor toràcic agut, la síndrome coronària aguda, la insuficiència cardíaca, el preoperatori, l’ecocardiografia transesofàgica o l’ecografia pulmonar. Un dels aspectes més destacats ha estat l’ús de simuladors, per tal d’apropar la formació a les situacions reals de pràctica clínica que es poden trobar els professionals. Els simuladors augmenten la destresa en l'estudi i la interpretació de les imatges i permeten analitzar un ampli nombre de patologies. Aquesta eina s'ha convertit en un element imprescindible en la formació teòric-pràctica en ecocardiografia.
El Dr. Artur Evangelista remarca que “l’ecocardiografia és una eina molt útil, que fa servir molta gent, però que exigeix un bon aprenentatge. En aquest sentit, a Vall d’Hebron vàrem ser pioners en la formació dels no cardiòlegs amb aquesta eina quan vàrem posar en marxa aquest curs, ja fa 15 anys”.
L’acceptació d’aquestes condicions, suposa que doneu el consentiment al tractament de les vostres dades personals per a la prestació dels serveis que sol·liciteu a través d’aquest portal i, si escau, per fer les gestions necessàries amb les administracions o entitats públiques que intervinguin en la tramitació. Podeu exercir els drets esmentats adreçant-vos per escrit a web@vallhebron.cat, indicant clarament a l’assumpte “Exercici de dret LOPD”. Responsable: Hospital Universitari Vall d’Hebron (Institut Català de la Salut). Finalitat: Subscripció al butlletí del Vall d’Hebron Barcelona Hospital Campus on rebrà notícies, activitat i informació d’interès. Legitimació: Consentiment de l’interessat. Cessió: Si escau, VHIR. No es preveu cap altra cessió. No es preveu transferència internacional de dades personals. Drets: Accés, rectificació, supressió i portabilitat de les dades, limitació i oposició al seu tractament. L’usuari pot revocar el seu consentiment en qualsevol moment. Procedència: El propi interessat. Informació Addicional: La informació addicional es troba a https://hospital.vallhebron.com/politica-de-proteccio-de-dades