Som un campus sanitari de referència que comprèn tots els camps de la salut: l'assistència, la recerca, la docència i la gestió.
La professionalitat, el compromís i la recerca dels professionals del Campus són elements clau per poder oferir una assistència excel·lent.
Apostem per la recerca com a eina per aportar solucions als reptes que ens trobem dia a dia en el camp de l’assistència mèdica.
Gràcies al nostre potencial assistencial, docent i de recerca treballem per incorporar nous coneixements per generar valor als pacients, als professionals i a la mateixa organització.
Generem, transformem i transmetem coneixement en tots els àmbits de les ciències de la salut per formar els futurs professionals.
La vocació de comunicació ens defineix. T’obrim la porta a tot el que passa al Vall d'Hebron Barcelona Hospital Campus i t’animem a compartir-ho.
Donació per a hospital
Donació per a recerca
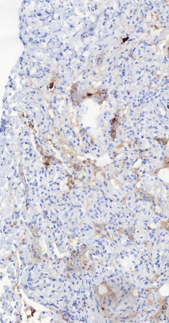
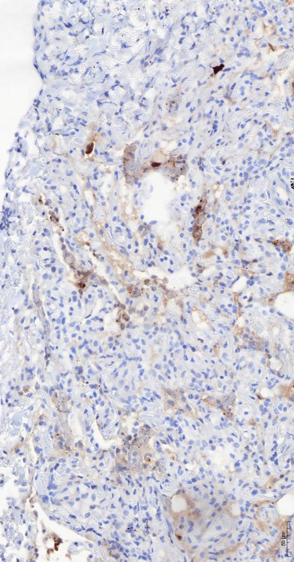
El Servei d'Anatomia Patològica estudia en mostres de teixit pulmonar la persistència del SARS-CoV-2.
El Servei d'Anatomia Patològica ha optimitzat la identificació del SARS-CoV-2 en mostres tissulars de pulmó, tant de pacients morts com en seguiment per la COVID-19, amb l'objectiu de saber en quines cèl·lules persisteix el virus després de les seqüeles que poden patir aquests pacients. Els professionals de Vall d'Hebron estan identificant el SARS-CoV-2 per tècniques d'immunohistoquímica, hibridació in situ i PCR de teixit pulmonar, a més d'estudiar el virus per microscòpia electrònica. “Ens trobem a pacients que ja són PCR negatius en el frotis nasofaringi i en canvi tenen seqüències víriques a l'interior dels pulmons, ho estem estudiant”, explica el Dr. Santiago Ramon i Cajal, cap del Servei d'Anatomia Patològica.
La immunohistoquímica permet identificar proteïnes virals en els diferents teixits. És una tècnica que es basa en la incubació del teixit tissular amb anticossos que s'uneixen de manera específica a les proteïnes d'interès, avaluant-se el resultat amb un microscopi òptic. Respecte a la hibridació in situ, permet als professionals d'anatomia patològica visualitzar les seqüències del virus en les seccions de teixit pulmonar i identificar les cèl·lules que tenen del virus. “No es tracta només de proves diagnòstiques, ens interessen particularment en el seguiment d'aquests pacients ja que es calcula que un 20% d'aquells que han sobreviscut després d'una pneumònia a causa de la COVID-19 tindran seqüeles pulmonars”, exposa el Dr. Santiago Ramon i Cajal.
L’acceptació d’aquestes condicions, suposa que doneu el consentiment al tractament de les vostres dades personals per a la prestació dels serveis que sol·liciteu a través d’aquest portal i, si escau, per fer les gestions necessàries amb les administracions o entitats públiques que intervinguin en la tramitació. Podeu exercir els drets esmentats adreçant-vos per escrit a web@vallhebron.cat, indicant clarament a l’assumpte “Exercici de dret LOPD”. Responsable: Hospital Universitari Vall d’Hebron (Institut Català de la Salut). Finalitat: Subscripció al butlletí del Vall d’Hebron Barcelona Hospital Campus on rebrà notícies, activitat i informació d’interès. Legitimació: Consentiment de l’interessat. Cessió: Si escau, VHIR. No es preveu cap altra cessió. No es preveu transferència internacional de dades personals. Drets: Accés, rectificació, supressió i portabilitat de les dades, limitació i oposició al seu tractament. L’usuari pot revocar el seu consentiment en qualsevol moment. Procedència: El propi interessat. Informació Addicional: La informació addicional es troba a https://hospital.vallhebron.com/politica-de-proteccio-de-dades